當前的腫瘤免疫療法在“利用免疫檢查點抑制(如PD-1/PD-L1抗體)”方面取得了巨大的成功。但隨著研究的進步,科學家發現一些癌癥還能夠利用多種方式來逃避T細胞的識別,但是這類腫瘤會首先受到自然殺傷細胞(natural killer cells,NK細胞)的攻擊。
與T細胞不同,NK細胞是天然淋巴細胞,能夠表達“識別腫瘤細胞和病原體感染細胞表面配體”的受體,如NKG2D(NK group 2D)受體。NKG2D-NKG2D配體軸是人類NK細胞介導的腫瘤細胞和病毒感染細胞識別的主要激活通路。
不過,狡猾的腫瘤也進化出了逃避NK細胞監視,損害NK細胞識別的機制。其中,NKG2D配體MICA和MICB(它們由腫瘤產生,并暴露在腫瘤表面)從腫瘤細胞表面脫落是一種主要的機制。這種逃逸現象使得免疫系統無法再利用MICA 和 MICB作為一種發動攻擊的信號。此前,有研究在癌癥患者的血清中發現了脫落的MICA和MICB,這常常與NK細胞功能受損和預后不好有關。

1、關鍵抗體——mAb 7C6
那么,是否有一種方法,能夠阻止MICA 和 MICB這類蛋白從腫瘤表面脫落,從而讓免疫系統能發揮抗癌作用呢?Kai W. Wucherpfennig教授帶領的團隊在題為“Antibody-mediated inhibition of MICA and MICB shedding promotes NK cell–driven tumor immunity”的Science論文中回答的問題。
該研究中,來自Dana-Farber癌癥研究所和哈佛醫學院等機構的科學家們提出了一種改進NK細胞識別腫瘤細胞的有效方法,將癌癥免疫療法擴展到了T細胞之外。

圖片來源:Science
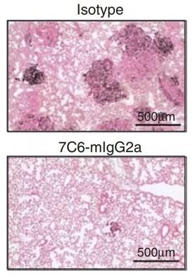
具體來說,為了阻止這種免疫逃逸,讓NK細胞能夠有效識別腫瘤,科學家們設計了一種靶向MICA 和 MICB的抗體——mAb 7C6。在肺癌和黑色素瘤小鼠中,mAb 7C6不僅增加了癌細胞表面MICA 和MICB的水平(這表明腫瘤沒能成功地將這兩種蛋白“剝離”),同時增加了腫瘤內自然殺傷細胞的浸潤。
在患黑色素瘤并已發現肺轉移的小鼠中,mAb 7C6治療幫助降低了腫瘤負荷。同時,研究還證實,這種抗腫瘤免疫力主要是通過NK細胞激活NKG2D和CD16 Fc受體介導的。

Histological analysis (Fontana-Masson staining) of lung tissue demonstrated an apparent reduction in the number and size of metastases in mice that were treated with the MICA antibody (representative of five mice). Credit: Science (2018). DOI: 10.1126/science.aao0505
2、NK細胞加入抗癌行列
來自加州大學舊金山分校的Lewis Lanier博士以及海德堡大學的AdelheidCerwenka博士在同期的Science雜志上發表了一篇題為《自然殺傷細胞加入抗癌行列》(Natural killers join the fight against cancer)的觀點文章。
他們認為,這項研究提出了一個令人興奮的概念,即治療性抗體具有改善基于NK細胞的癌癥免疫療法的潛能;同時,刺激NK細胞來對抗腫瘤可能會成為聯合治療的有效組成部分。
事實上,在人類中,NKG2D受體不僅由NK細胞表達,也由所有的CD8+ T細胞表達。先前,已經有研究報道了NKG2D–NKG2D配體軸在CD8+ T細胞中的協同作用。因此,聯合MICA-MICB抗體和免疫檢查點抑制劑或其他T細胞療法是可行的。
參考資料:1)Preventing tumors from shedding their identifying proteins allows immune system to attack
2)Immunotherapy Calls Up Natural Killer Cells in the Fight against Cancer
3)Natural killers join the fight against cancer